We are here to assist you.
Health Advisor
+91-8877772277Available 7 days a week
10:00 AM – 6:00 PM to support you with urgent concerns and guide you toward the right care.
Discover how specialized staining techniques, like Giemsa, are crucial for accurately diagnosing Leishmaniasis, identifying the parasite, and guiding timely treatment. Understand this key diagnostic approach.

Leishmaniasis, a parasitic disease spread by the bite of infected sandflies, poses a significant global health challenge. This condition manifests in several forms, ranging from debilitating skin sores (cutaneous leishmaniasis) to severe, life-threatening internal organ damage (visceral leishmaniasis, also known as kala-azar).
Accurately identifying the parasite is crucial for preventing severe health complications and initiating appropriate care. Without prompt diagnosis and therapy, visceral leishmaniasis can be fatal.
Diagnosing leishmaniasis can be complex due to its varied presentations and geographical distribution. Clinicians employ several methods to detect the parasite or evidence of its presence.
These methods include molecular tests (PCR), serological tests (detecting antibodies), and direct visualization of the parasite. Among these, direct visualization using microscopy, often enhanced by special staining techniques, remains a cornerstone of diagnosis, especially in resource-limited settings.
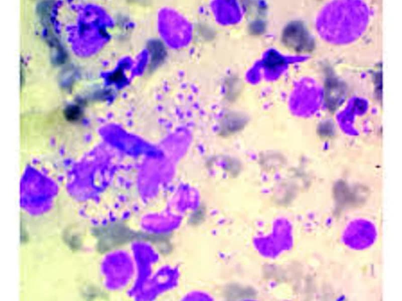
Special staining is a key laboratory procedure that assists physicians in confirming the presence of Leishmania parasites within tissue samples or bodily fluids. These stains selectively color different components of cells, making the parasites — particularly their amastigote form — much easier to identify under a microscope.
Think about it this way: without these specific dyes, spotting the tiny, intracellular parasites can be like finding a needle in a haystack. The reality is, standard hematoxylin and eosin (H&E) stains, commonly used for tissue examination, often do not provide sufficient contrast to reliably detect Leishmania amastigotes.
That's the part worth remembering.
Among the various special stains, Giemsa stain is perhaps the most widely recognized and reliable for detecting Leishmania. This differential stain is particularly adept at highlighting the characteristic morphology of the amastigote stage of the parasite.
What most people miss: Giemsa not only stains the parasite's cytoplasm blue but also distinctively colors its nucleus and kinetoplast (a small, rod-like mitochondrial DNA structure) reddish-purple. This unique coloration allows experienced microscopists to confidently distinguish Leishmania amastigotes from host cell components and other cellular debris.
The diagnostic process begins with obtaining an appropriate clinical sample. For cutaneous leishmaniasis, this might involve a skin biopsy or a slit-skin smear taken from the edge of a lesion. Visceral leishmaniasis often requires more invasive samples, such as bone marrow aspirates, spleen aspirates, or lymph node biopsies.
Once collected, the sample is carefully prepared on a microscope slide. Thin smears are made, allowed to air dry, and then fixed — typically with methanol — to preserve cellular morphology.
Following fixation, the slide undergoes the staining procedure. Giemsa stain is typically diluted and applied to the fixed smear for a specific duration, which can vary depending on the laboratory protocol. After staining, the slide is gently rinsed to remove excess dye and then air-dried. The prepared slide is then examined under a high-power microscope by a trained laboratory specialist.
That alone changes everything.
These specialists meticulously search for the characteristic Leishmania amastigotes within macrophages or extracellularly. Does this sound familiar? The identification of even a single amastigote can confirm the diagnosis, prompting immediate initiation of suitable care.
A positive result — the visualization of Leishmania amastigotes — provides definitive confirmation of the infection. This enables physicians to promptly initiate specific anti-leishmanial therapy. Conversely, a negative result does not always rule out leishmaniasis, especially if the parasite load is low or the sample collection was suboptimal.
In such cases, repeated testing or alternative diagnostic approaches may be considered to support accurate diagnosis. Honestly, careful correlation with clinical signs and epidemiological factors is always vital.
Direct Visualization: Offers direct proof of infection by identifying the parasite itself.
Cost-Effective: Generally less expensive than molecular tests, making it accessible in many settings.
Rapid Results: Provides relatively quick results, enabling faster care decisions.
Morphological Detail: Allows for observation of parasite morphology, which can assist in species identification in some cases.
Operator Dependent: Requires skilled microscopists for accurate interpretation.
Sensitivity: Can have lower sensitivity than PCR, especially with low parasite burdens.
Invasive Samples: Often necessitates invasive sample collection for visceral forms.
Viability: Does not indicate parasite viability, only presence.
What should you actually do? If you suspect leishmaniasis or have been in an endemic area and are experiencing unexplained signs, seeking prompt medical evaluation is absolutely crucial.
Early detection and appropriate management significantly enhance patient outcomes and prevent progression to more severe forms of the disease. Your physician can guide you through the necessary diagnostic steps and recommend the most proven approach.
That's the part worth remembering.
Special staining, particularly the Giemsa method, remains an indispensable tool in the diagnostic arsenal against leishmaniasis. Its reliability in directly visualizing the parasite makes it a key component of diagnostic strategies worldwide.
By understanding this vital diagnostic technique, people can better appreciate the efforts involved in accurately identifying and managing this challenging parasitic infection. Ultimately, strengthening diagnostic capabilities directly contributes to boosting public health efforts against leishmaniasis.

Understand the peripheral blood smear test for malaria diagnosis, its procedure, and what results mean for patients.
April 20, 2026

Understand the peripheral blood smear test for malaria diagnosis, its procedure, and why it's a vital tool in combating this disease.
April 20, 2026

Understand the wet mount parasite test: what it is, why it's done, and how it helps diagnose infections for better health outcomes.
April 20, 2026